我们知道肺癌和其他恶性肿瘤一样,有局部浸润、血性转移、淋巴转移、种植转移等转移方式。肺癌有一种特殊的转移方式,既不会像血性转移那样通过血液循环直接在其他器官“设置”,也不会像淋巴转移那样引起不同部位的淋巴结肿大。这种转移可能涉及血性转移和淋巴转移,其结果称为癌性淋巴管炎。

通俗地说,癌性淋巴管炎是癌细胞在淋巴管中的堆积。肺。淋巴管内充满了大量的肿瘤细胞,在淋巴管内形成癌性浸润和炎症。事实上,肺癌淋巴管炎是肺癌转移的一种特殊形式。目前认为癌性淋巴管炎可以通过两种方式形成。
肿瘤细胞首先通过淋巴干转移至纵隔淋巴结,然后逆行至肺门淋巴结。淋巴结受累肿大,使相应的肺门淋巴引流受阻,反流进入肺淋巴管。肿瘤 细胞停留在淋巴管中,导致阻塞和液体积聚。二是肿瘤细胞通过血液向肺小动脉转移,形成瘤栓或瘤结节,并进一步发展。肿瘤细胞通过血管进入肺间质和淋巴管,从而发展为疾病。

癌性淋巴管炎通常表现为进行性呼吸困难、患者胸闷和哮喘持续数天至数天周,即使常规吸氧也不能缓解,60%的患者出现呼吸困难。咳嗽、痰中带血、咯血等症状相对较少。在一些患者中,胸膜下淋巴管炎可能有胸膜炎性疼痛。
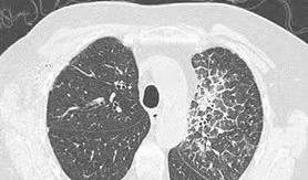
癌性淋巴管炎在影像学上容易与间质性肺炎、间质性肺水肿、放射性肺炎、肺纤维化等疾病混淆。因为癌性淋巴管炎的影像表现为从肺门到肺野呈放射状不均匀阴影,支气管增厚,网状结节,甚至肺实质间质水肿和磨玻璃影。高分辨率CT显示小叶间隔增厚成串珠状,有助于鉴别。这种影像表现可以分布在一个或两个肺上,局部或广泛,对称或不对称。如果发生广泛的癌性淋巴管炎,会影响肺通气功能,患者会出现更多的呼吸困难症状。

当患者有癌性淋巴管炎相关的间质性改变时,呼吸道症状为道解痉治疗往往是无效的。这与间质性肺炎非常不同。通常激素可以发挥作用。对于有肺癌病史,影像学检查高度怀疑肺癌淋巴管炎的患者,治疗中常给予经验性抗感染、吸氧、对症治疗。
肺癌一旦发生癌性淋巴管炎,常被归类为终末期,预计生存时间不超过6个月。与鳞状细胞癌相比,肺腺癌发生癌性淋巴管的概率更高,80%的肺癌淋巴管炎是由腺癌引起的。
随着肺癌治疗方法的增多,癌性淋巴管炎患者的预后有所改善。如果患者身体状况一般,应尽早对原发病进行姑息性化疗和靶向治疗,以减轻临床症状。
文章来源:《中国误诊学杂志》 网址: http://www.zgwzxzzzz.cn/zonghexinwen/2021/0831/527.html
中国误诊学杂志投稿 | 中国误诊学杂志编辑部| 中国误诊学杂志版面费 | 中国误诊学杂志论文发表 | 中国误诊学杂志最新目录
Copyright © 2021 《中国误诊学杂志》杂志社 版权所有 Power by DedeCms
投稿电话: 投稿邮箱: